USphereTM超声微泡造影剂产品介绍
一、 产品基本介绍 1.1物理结构 USphereTM bubble contrast agent 系临床前超声成像造影剂(仅供科研用途),经静脉注射后,可增强血液中的超声信号,达到增强心血管疾病诊断或肿瘤检测等目的。本超声造影剂以八氟丙烷(Octafluoropropane, Perflutren,C3F8)气体为核心气体,外部以磷脂质(Phospholipids)材料作为壳层的单层膜微气泡(Microbubble)。如Figure1所示,通过磷脂质的自组装能力,磷脂层可以形成一个有效减缓气体扩散(Diffusion)的保护膜,避免微气泡相互融合成更大的气泡,并且在体内稳定循环,增强造影时间。磷脂质壳层通常由2-3种磷脂质组成;表面经聚乙二醇(PolyethyleneGlycol,PET)修饰,避免了磷脂壳层之间相互团聚,其生物相容性亦有提升。 图1微泡结构示意图
Figure 1 Structure of Microbubbles
1.2壳层成分目前主流的超声造影剂壳层材料均以磷脂质为主,其优势在于磷脂质可以形成良好弹性的单层膜,保护微气泡能够在超声波发射中产生稳定振动,进而表现出优异的声学特性,增强超声成像效果。 1.3气体成分分析目前市售的超声造影剂产品多采用全氟碳化合物。相对于空气,全氟碳化合物具有较大的分子量、极低的水溶解度和缓慢的扩散速率;因此全氟碳化合物穿透磷脂膜的理论能垒较高。全氟碳化合物可以有效减缓微泡泄气速度,进而增强微泡的造影时间。USphereTM所使用的气体成分亦为全氟碳化物。二、 竞争产品比较与优势分析 常见的商用超声波造影剂有美系的OptisonTM(GE Healthcare)、Definity® (Lantheus Medical Imaging)、欧系的 SonoVueTM(Braco)和日系的SonazoidTM(GE Healthcare)。常见的商用造影剂比较表如表1。 优势1.UsphereTM较其他产品具有非常优异的粒径分布(如图2),它的微泡共振频率更适合用于目前医疗仪器的范围,大幅度提高超声信号的强度。其次,良好的粒径分布可以控制稳定穴蚀(Stable Cavitation)及惯性穴蚀(Inertial Cavitation)所致的生物效应,进而降低其在检测心血管疾病上的潜在风险和增强其在药物递送过程中的安全性。 优势2.UsphereTM系列产品粒径更小,在提供更为细致的成像品质的同时,仍保有在组织深部的回散射强度。 优势3.UsphereTM单位体积内的微泡浓度可达2.5x1010Bubbles/mL,为同类产品中浓度最高者。由于其粒径小、浓度高,对于肿瘤部位的血管造影更加明显。优势4.UsphereTM具有良好的稳定与悬浮特性(如图3),可以兼用作某些声学研究(如超声波场扫描与流体状态分析)。优势5.UsphereTM体内循环时间高达6-15分钟(如图4),利于活体实验。开封活化后三天可保持极高品质,方便活体实验。而目前市场占有率较高的SonoVueTM仅有6小时的开封后使用时间。 图2USphereTM的物理表征:
电子显微镜图(Cryo-TEM)

粒径分布图(Multisizer3,USPcompliant)
Figure 2. Characterization of USphereTM. Left:TEM (Cryo-TEM); Right: size distribution (Multisizer3,USP compliant)
表1常见商用超声造影及对比表
Table1 Comparisons of Commercialized ultra-sound contrast agents
| 品名 | 制造商 | 壳层 成分 | 气体 成分 | 平均粒径 (ur) | 粒径低于10 μm微泡比例 | 微泡浓度 (particles/mL) | 使用时间 (Min) |
| OptisonTM | GE Healthcare Medical Diagnostics | 白蛋白(注:目前市 场已淘汰该技术) | C3F8 | 3.0-4.5 | 95% | 5.0-8.0x108 | 1-5 |
| Definity® | Lantheus Medical Imaging | 脂类/表面活性剂 | C3F8 | 1.1-3.3 | 98% | 1.2x1010 | 3.4-7.1 |
| SonoVueTM | Bracco Diagnostics | 脂类/表面活性剂 | SF6 | 20-3.0 | 99%(<11μm) | 0.9-6x109 | 3-6 |
| SonazoidTM | GE Healthcare Medical Diagnostics | 脂类 | C4F10 | 2.1 | 99.5% | 1.2x109 | 6-15 |
| UsphereTM | Trust Bio-sonics/United Well | 脂类/磷脂质 | C3F8 | 1.1-1.4 | >99.9% | 2.0-3.0x1010 | 6-15 |

图3USphereTM在水溶液中的悬浮性图片
Figure 3 USphereTM in aqueous suspension

图4 USphereTM与SonoVueTM的体内循环时间比较。SonoVueTM 180s;USphereTM540s.
Figure 4. Comparison of in vivo circulation time with SonoVueTM
三、 产品种类与应用
产品1.Prime
Prime是最基本的超声造影剂类型,是针对小动物超声成像设计的最佳微气泡造影剂。由于其拥有粒径小、浓度高、稳定性佳的特性,且共振频率覆盖1-40MHz,适用于高解析度超声设备(如Vevo2100,Braco系统等),以及大部分市售医用超声系统。Prime可以提供优异的对比影像,在基础研究中适用范围广泛。
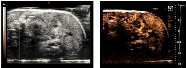
Prime 最基本的应用为检测血液灌流(如图5)、检测微循环、辅助计算血流、心肌灌注等高灵敏度需求的诊断过程。使用微气泡造影剂可提升深层组织的回散信号强度,进而有效延伸超声波系统的成像深度。

图5使用USphereTM小鼠腹部血液灌流检测结果(Vevo2100小动物超声成像仪)
Figure 5. Detection of blood perfusion of the mice abdomen
其他延伸应用包含: (1)心血管诊断 辅助观察心室壁运动、心房或心室中膈缺损诊断、心肌缺血程度判断与位置诊断、辅助冠心病诊断、气球扩张术评估、及术后血管再阻塞追踪。 (2)肿瘤诊断 肿瘤血液灌流(图6)与肿瘤转移诊断、乳癌检测。图6 以Vevo2100高频超声波影像系统配合Prime于小鼠腿部肿瘤内血液灌流检测
Figure 6 Mice tumor blood perfusion with Prime in Vevo 2100
(3)其他
新药开发、辅助肝硬化诊断、肝组织射频烧灼术范围侦测、超声波系统演算法开发。由于微泡可与超声波协同作用后可刺激细胞增加通透性、促进药物释放。微泡还可用于工业声场量测量(acousticfield measurements)等。
产品2.Tracer
Tracer产品主要是在Prime上额外偶联萤光物质(fluorescent agent),使微气泡除了可以用作超声造影剂以外,亦可以应用于荧光检测。常见的用途包含:
(1)药物动力学研究
将荧光物质视为model drug,在荧光下观察微气泡的药物动力学。图7为在小鼠window chamber模型下观测Tracer随血液动力学与分布。

图7在Window Chamber Model注射Tracer,观察药物动力学
Figure 7 Pharmacokinetic Analysis of Tracer in Mice Window Chamber Model
(2)超声波驱动药物释放监测
同样将荧光物质视为model drug,配合超声波的驱动,观察超声波释放微气泡内药物的情形,亦可初步评估药物治疗情况。图8为小鼠经超声波驱动Tracer释放萤光物质后,以IVIS(PerkinElmer)系统显示:右侧施打超声波的小鼠腿部有荧光讯号累积的现象。

图8以IVIS追踪超声波驱动药物释放
Figure 8 Ultrasound driven drug (tracer) delivery and release in vivo
(3)细胞药物释放研究
于细胞实验研究超声波驱动药物释放的情形(如图9)。

图9细胞中以超声波驱动Tracer释放荧光物质
Figure 9 Ultrasound driven drug (tracer) delivery and release in vitro
产品3.Deliver
Deliver 产品主要是在Prime上负载临床上化疗用药doxorubicin(DOX)的载药微气泡,使微气泡除了可作为超声造影剂以外,同时可达到超声波驱动的药物释放和治疗肿瘤的目的。Deliver最大优势在于注入活体内后,能先利用微气泡的显影功能在超声波影像上呈现肿瘤的位置,接着通过在目标位置加强超声波可驱动Deliver内药物在靶向部位大量释放,达到肿瘤局部化疗的功效。图10显示骨肉瘤上利用Deliver的治疗结果:,在治疗后第五天可以利用超声波显影剂观察到肿瘤出现坏死(necrosis)。

图10左图为Deliver的荧光显微镜图像;右图为利用超声波驱动Deliver释放DOX进行治疗,可以观察到在治疗后第五天肿瘤内部出现坏死
Figure 10 Left:Fluorescence microscopy image of deliver; Right: Tumor necrosis on day 5 after injection of Deliver.
产品4.Labeler
Labeler产品则是在Prime的壳层上修饰生物素分子(biotin molecules]或卵白素(avidin),使用者能键结上抗体,使微气泡具专一性吸附能力之能力,能针对特殊位置进行专一性超声波造影。图11是在Labeler 上修饰anti-VEGFR2 antibody,可以观察到微气泡专一性的吸附于大量表达该抗体的癌细胞上。

图11 在Labeler 上修饰 anti-VEGFR2 antibody,使微气泡能大量且专一性的吸附于表达该抗体受体的癌细胞上
Figure 11 anti-VEGFR2 antibody labelled Labeler applied to targeting VEGF positive cancer cells
产品5.Trans+
Trans+产品是在Prime的壳层材料上加入带正电磷脂质材料,使微气泡壳层带有正电,使用者能以简单的电性吸附原理,将带负电的基因片段(DNA/RNA)吸附于微气泡壳层上;再由超声波驱动达到基因递送及基因转染(gene transfection)的功效。

图12在Trans+上吸附可以表达荧光的DNA,利用超声波驱动基因释放与转染后可见转染后的C6脑胶质瘤细胞均匀表达荧光
Figure 12 Full size Turbo Green absorbed Trans+ targeted to C6 glioma cells followed by the expression of turbo green
四、 目前已开展的应用研究| 用途描述 |
| 猪左脚接肢后,以超声波影像配合超声造影剂观察血流状况,以确定接肢成功与否。 |
| 1.于小鼠腿部肌肉注射label有萤光的超声造影剂,观察微气泡在肌肉组织的滞留时间与滞留范围。2.基因转殖细胞实验,观察超声波与超声造影剂的cavitation dose。 |
| 于肿瘤动物模型,静脉注射超声造影剂,配合超声波观察肿瘤状态。 |
| 于猪肢进行电烧后,静脉注射超声波对比剂,配合超声波观察电烧成功与否。 |
| 于微气泡包覆药物,配合超声波进行药物递送。 |
| 于肥胖大鼠上,静脉注射超声造影剂,配合超声波进行肥胖检测。 |
| 静脉注射超声造影剂,配合超声波,于肝癌模型进行典型癌症pattern分析。 |
| 将萤光接上微气泡作为model drug,并将微气泡水溶液由耳道滴于耳膜上,配合特殊超声波,进行药物递送(由耳膜递送至中耳)。 |
| 以超声造影剂配合超声波,于细胞上进行基因转殖。 |
| 以超声造影剂配合高频超声波,进行高频超声波成像演算法开发。 |
| 以超声造影剂配合HIFU,进行BBB-open,以及其后的药物递送和基因递送。 |
| 于微气泡包覆药物,配合超声波进行药物递送。 |
| 1.以超声造影剂配合聚焦式超声波,进行BBB-open,以及其后的药物递送和基因递送。2.以超声造影剂配合HIFU,于window-chamber模型进行伤害性评估。3.以超声造影剂配合聚焦式超声波进行物理参数与生物效应评估。4.直接利用微气泡作为MRI对比剂。5.以MRI观测微气泡与HIFU之作用。 |
| 作为显影剂开发的reference standard。 |
| 以超声造影剂配合超声波,进行成像演算法开发。 |
| 于小鼠肝癌模型,静脉注射超声造影剂,配合超声波观察肿瘤血流状态,进行新药开发。 |
| 以超声造影剂配合超声波,进行动态细胞sonoporation观测。 |
| 于微气泡包覆药物,配合超声波进行药物递送。 |
| 利用微气泡配合超声波提升药物输送。 |
五、 文献列表1.S.T. Kang et al., "A Maleimide-Based In-Vitro Model for Ultrasound Targeted Imaging," Ultrasonics Sonochemistry, vol. 18, 2011.
2.C.H.Wang et al.,"Aptamer-Conjugated Nanobubbles for Targeted Ultrasound Molecular Imaging," Langmuir, vol. 27,2011.
3. S.T.Kang et al., "Intracellular Acoustic Droplet Vaporization in a Single Peritoneal Macrophage for Drug Delivery Applications,"Langmuir,vol.27,2011.
4.C.H.Wang et al., "Aptamer-Conjugated and Drug-Loaded Acoustic Droplets for Ultrasound Theranosis," Biomaterials, vol.33,2012.
5.S.T.Kang et al., "Ultrasound Microbubble Contrast Agents for Diagnostic and Therapeutic Applications: Current Status and Future Design," Chang Gung Medical Journal, vol. 35, 2012.
6.C.Y.Ting et al., "Concurrent Blood-Brain Barrier Opening and Local Drug Delivery Using Drug-Carrying Microbubbles and Focused Ultrasound for Brain Glioma Treatment," Biomaterials, vol. 33,2012.
7.P. Chonpathompikunlert et al., "Redox Nanoparticle Treatment Protects Against Neurological Deficit in Focused Ultrasound-Induced Intracerebral Hemorrhage," Nanomedicine, vol. 7,2012.
8.C. H. Fan et al., "Detection of Intracerebral Hemorrhage and Transient Blood-Supply Shortage in Focused-Ultrasound-Induced Blood-Brain-Barrier Disruption by Ultrasound Imaging," Ultrasound in Medicine and Biology, vol. 38,2012.
9.C.H.Wang et al., "Superparamagnetic Iron Oxide and Drug Complex-Embedded Acoustic Droplets for Ultrasound Targeted Theranosis," Biomaterials, vol. 34, 2013.
10. C.H. Fan et al., "Antiangiogenic-Targeting Drug-Loaded Microbubbles Combined With Focused Ultrasound for Glioma Treatment," Biomaterials, vol.34, 2013.
11.C.H.Fan et al., "SPIO-Conjugated, Doxorubicin-Loaded Microbubbles for Concurrent MRI and Focused-Ultrasound Enhanced Brain-Tumor Drug Delivery," Biomaterials, vol. 34, 2013.
12.S.L.Peng et al., "Using Microbubbles as an MRI Contrast Agent for the Measurement of Cerebral Blood Volume," NMR in BioMedicine, doi: 10.1002/nbm.2988.NEW!